Cabinet dentaire du Dr Giraudo à Aix en Provence
Blanchiment - Implants dentaires - Prothèses esthétiques - Facettes - Orthodontie - Endodontie
525 route du Puy Sainte Reparade, 13090 AIX EN PROVENCE
+33 4 42 38 55 77
Cabinet dentaire du Dr Giraudo à Aix en Provence
Blanchiment - Implants dentaires - Prothèses esthétiques - Facettes - Orthodontie - Endodontie

Blog - Page 14

Eclaircissement ambulatoire

Eclaircissement ambulatoire

Corriger le vieillissement péri-buccal grâce à l’acide hyaluronique

Corriger le vieillissement péri-buccal grâce à l’acide hyaluronique

Le cas spécifique de la luxation de la mâchoire

Bruxisme et usure dentaire

Impact du brossage agressif sur l’usure des dents

Impact du brossage agressif sur l’usure des dents

La brossette interdentaire

La brossette interdentaire

Utilisation du fil dentaire

Utilisation du fil dentaire

Le mouvement normal de l’articulation temporo-mandibulaire

Le mouvement normal de l’articulation temporo-mandibulaire

Parodontite et formation de la poche parodontale

Parodontite et formation de la poche parodontale

Conséquence de la perte des dents postérieures

Conséquence de la perte des dents postérieures

Traitement orthodontique esthétique par gouttières

Traitement orthodontique esthétique par gouttières

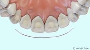
Fil de contention

Fil de contention

Affichage des articles 157-168 sur 186

Création par Webdentiste

Connexion